Кой не иска усмивка, която е здрава и красива с естествена визия? Днес отговорът на този въпрос и решението за пациенти с значителни дентални проблени са: циркониевите коронки . Те вече не са лукс, а ...
Промените в устата, причинени от хлорирана вода в плувни басейни

Плуването е един от най-популярните спортове в целия свят, като предоставя множество ползи за здравето. Умереното натоварване при тренировки подпомага укрепването на тялото, сърцето и поддържа физическа активност. Плуването е включено още в първите Олимпийски игри през 1896 г. в Атина.
Редица проучвания сочат обаче, че редовното излагане на хлорирана вода в басейните може да повлияе неблагоприятно върху здравето на устната кухина, особено при професионални плувци и спортисти.
Най-чести изменения
Най-честите изменения са:
-
зъбна ерозия,
-
повишено образуване на зъбен камък,
-
свръхчувствителност,
-
поява на петна по зъбите.
Рисковете се увеличават, когато водата има ниско pH или спортистите консумират ерозиращи напитки. По-младите плувци са по-податливи на появата на орални заболявания.
Причини и симптоми
Басейновата вода обикновено се поддържа с помощта на хлор или други химикали, за да се предотврати развитието на микроорганизми. Този процес може да доведе до промяна на pH към по-ниски стойности, което от своя страна да причини деминерализация на зъбния емайл.
Хлорът реагира със слюнката и зъбната плака, като образува зъбна биофилмова плака, която допълнително уврежда емайла. Продължителният контакт с агресивни химикали във водата е особено вреден за предните зъби, които са най-изложени.
Химичните промени в устата включват:
-
поява на остър вкус след консумация на вода от басейна,
-
сухота в устата,
-
повишена чувствителност при хранене, пиене и дишане.
Честият контакт с хлорирана вода може да наруши естествената защита срещу патогени, въпреки че ефектът зависи от продължителността на експозицията.
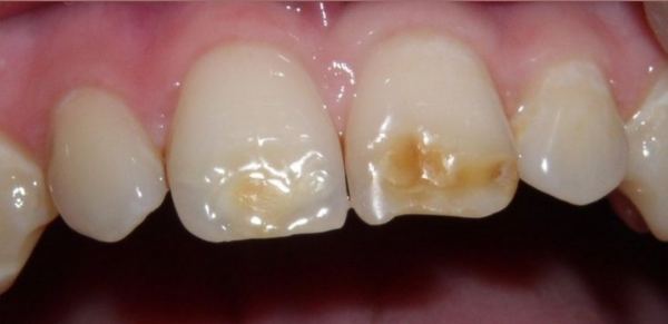
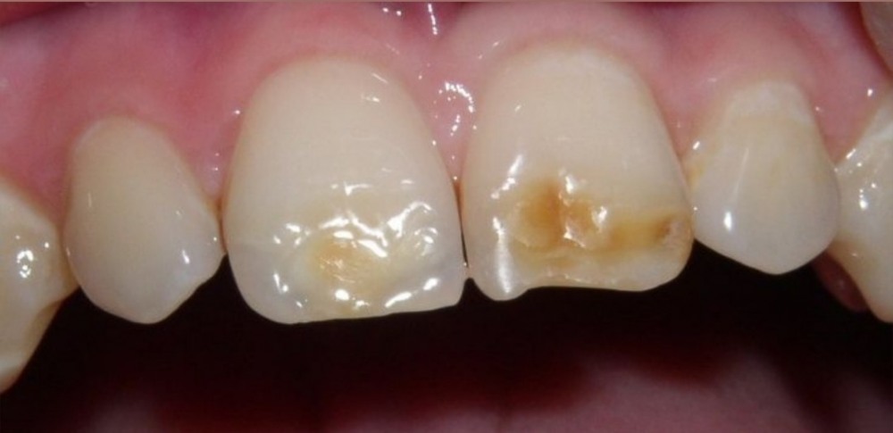
Ерозии
Зъбна ерозия може да се появи, когато pH на водата в басейна е под 5,5. Ерозията е необратим процес, който води до загуба на емайл и оголване на дентина.
Професионалните плувци са изложени на по-висок риск поради честото и продължително излагане.
Изследване на Zebralusa и колектив през 2013 г. установява ерозия при 26% от състезателите по плуване и при 10% от любителите. Лезиите обикновено се появяват по лабиалните и палатинните повърхности на предните зъби.
Рау и кол. през 2019 г. изследват 56 състезатели и откриват ерозионни увреждания при 48,2% от тях, главно по горната челюст.
Химическите реакции между хлора и водата при ниско pH са основен фактор за ерозията, особено при млади плувци.
Свръхчувствителност
Свръхчувствителността на зъбите се наблюдава при значителна част от плувците и може да доведе до дискомфорт или болка при контакт с топло, студено или сладко.
Рау и кол. съобщават, че 69,6% от състезателите по плуване имат изразена свръхчувствителност на зъбите.
Оцветяване
Изследване на 21 плувци показва, че при 10 до 12 часа седмично плуване се наблюдава оцветяване на зъбите поради отлагане на минерални соли от хлора.
Други промени
-
14,7% от състезателите по плуване са претърпели зъбна травма, свързана със спорта.
-
Контактът с хлорирана вода може да причини възпаление на венците и лигавицата на устната кухина.
-
При по-малки плувци може да се появи дискомфорт на меките тъкани.
-
Изсушаването на устата и загубата на естествената защита срещу бактерии може да предизвика дразнене и чувствителност.
Превенция
-
Поддържане на оптимално pH
Редовното измерване и регулиране на pH на басейновата вода е ключово. Препоръчителното pH е между 7.2 и 7.8, а нивото на хлор – 0.3–0.5 mg/l. -
Изплакване след плуване
Препоръчва се устата да се изплаква с чиста вода след всяка тренировка, за да се намали остатъчният хлор. -
Използване на флуоридни пасти и реминерализиращи продукти
Това подпомага укрепването на емайла и намалява чувствителността. -
Редовна дентална профилактика
Посещения при стоматолог помагат за ранно откриване и лечение на проблеми, свързани с басейновата вода. -
Лична и професионална хигиена
Добрата устна хигиена и правилна техника на миене ограничават риска от увреждания.
Заключение
Тези мерки могат да подпомогнат възстановяването на нормалното състояние на устната кухина и да намалят проблемите, свързани с дългосрочното плуване.
Плувците и зъболекарите трябва да познават възможните последици от хлорираната вода и да работят заедно за профилактика и поддържане на добро орално здраве.
всички статии
Други статии
Колко струва ваденето на зъб? Цената на вадене на зъб варира и често предизвиква въпроси у пациентите. Отговорът не е еднозначен, защото зависи от редица обстоятелства.  ...